コンポジットレジン修復という選択肢

コンポジットレジンとは歯科治療で使用される「歯に詰める」修復用材料で、歯にとても強く接着して自然な歯の色調に近い状態への治療が可能です。
一般的には虫歯になってしまった時の初期治療に使用されることが多く、前歯の虫歯を美しく修復できるだけではなく、最近は奥歯の虫歯でも銀歯に変わる修復材料として活用される機会が増えています。

コンポジットとは「混合の」という意味の言葉で、コンポジットレジンは光を当てると硬化する合成樹脂(レジン)と、ガラス・セラミックスなどの鉱物を細かく砕いた粉末(フィラー)とを混合して作られています。
このフィラーと呼ばれる細かいガラス・セラミックスの形や配合具合により強度や表面の艶などが異なり、使用する部位によって使い分けられています。
当院では患者様の健康な歯を可能な限り温存して、健康的で美しい歯を取り戻すための治療の選択肢として、「コンポジットレジン修復」を積極的に提案しています。
詳しい内容は当院のスタッフまでお問い合わせください。

コンポジットレジンとは?

美しい色調や表面性状を表現し、強度の基盤となる 約80%の「セラミックス」
歯と強く接着して一体化し、自由な形に成形可能な 約20%の「プラスチック」
この両者の優れた特徴を併せ持つ、大きな可能性を持って進化を続ける歯科治療用の新素材。
このコンポジットレジン修復の分野では、高い技術力を持った日本ブランドの材料が世界中で高く評価され日本国内での診療でも広く活用されています。

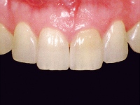
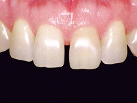
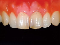
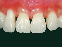
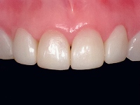
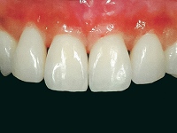
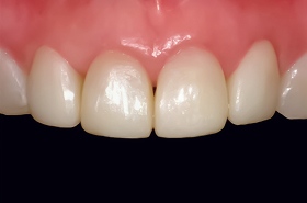
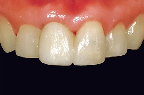
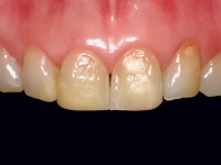
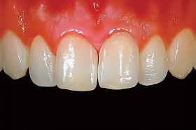
前歯の表面を美しく

健康な歯をほとんど削らずに、前歯の色や形をきれいにします

Before
After
  1. STEP.01

    治療前の状態

    前歯の表面が滑らかではなく色調も暗く均一ではありません

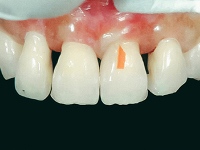
  2. STEP.02

    健康な歯を傷つけない様に注意して、
    古い詰め物の部分を慎重に除去します

  3. STEP.03

    コンポジットレジン修復用の接着剤を歯に塗布します

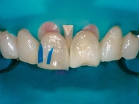
  4. STEP.04

    コンポジットレジンを歯に詰めて成形します(色調の選択が可能です)

  5. STEP.05

    成形したコンポジットレジンに光を当てて硬化させます

  6. STEP.06

    治療後の状態

    形態を修正して丁寧に研磨し艶のある表面の状態に仕上げます

治療費用

治療本数 保証期間 料金(税抜)
1歯 5年 ¥70,000
4歯 5年 ¥280,000

基本的には即日に修復を完了し、機能性と審美性が獲得可能です。
健全な歯を大切に保存しながら、歯の形態・色調を修正することができます。
口腔内の状況に応じて、1ヶ月・3ヶ月・6ヶ月の定期検診を維持してください。

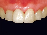
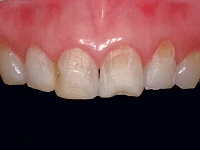
前歯の隙間を埋めたい

前歯の間の小さな隙間を埋める唯一の方法、コンポジットレジン修復

Before
After
  1. STEP.01

    歯周病の進行で前歯の間に小さな隙間があります

  2. STEP.02

    コンポジットレジンを詰めるための前準備をします

  3. STEP.03

    コンポジットレジンを詰めて歯の形を修正します

  4. STEP.04

    自然な形態と色調で歯の隙間を埋めることが出来ます

治療費用

治療本数 保証期間 料金(税抜)
4歯 5年 ¥200,000

基本的には即日に修復を完了し、機能性と審美性が獲得可能です。
健全な歯を大切に保存しながら、歯の形態・色調を修正することができます。
口腔内の状況に応じて、1ヶ月・3ヶ月・6ヶ月の定期検診を維持してください。

前歯の隙間を閉鎖したい

歯を全く削らずに前歯の隙間を1日で埋める唯一の方法

Before
After
  1. STEP.01

    治療前の状態

    前歯の隙間を埋めて審美性を改善することを目標に治療を開始します

  2. STEP.02

    健康な歯を削る必要は無く丁寧な歯面清掃をします

  3. STEP.03

    歯科専用の高性能接着剤を歯の表面に塗布します

  4. STEP.04

    コンポジットレジンを歯に詰めるための器具を準備します

  5. STEP.05

    コンポジットレジンを詰めて形態修正し丁寧に研磨します

  6. STEP.06

    治療後の状態

    前歯の隙間を埋めて形態を整えバランスの良い歯列に改善されました

治療費用

治療本数 保証期間 料金(税抜)
4歯 5年 ¥200,000

基本的には即日に修復を完了し、機能性と審美性が獲得可能です。
健全な歯を大切に保存しながら、歯の形態・色調を修正することができます。
口腔内の状況に応じて、1ヶ月・3ヶ月・6ヶ月の定期検診を維持してください。

銀歯が外れた時の治療法

銀歯に代わる奥歯の治療法の選択肢、コンポジットレジン修復

Before
After
  1. STEP.01

    銀歯が外れた状況で虫歯が確認できます

  2. STEP.02

    虫歯を除去し修復の準備をします

  3. STEP.03

    コンポジットレジンを詰めて歯の形に修復します

  4. STEP.04

    自然な色調で歯の形態を回復することが可能です

治療費用

治療本数 保証期間 料金(税抜)
1歯 5年 ¥35,000

基本的には即日に修復を完了し、機能性と審美性が獲得可能です。
健全な歯を大切に保存しながら、歯の形態・色調を修正することができます。
口腔内の状況に応じて、1ヶ月・3ヶ月・6ヶ月の定期検診を維持してください。

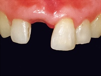
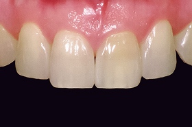
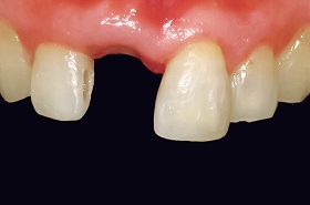
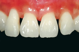
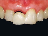
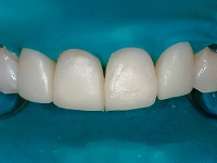
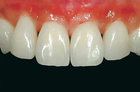
前歯欠損への対応

健康な歯を削らずに、前歯の欠損を1日で修復する方法

Before
After
  1. STEP.01

    治療前の状態

    前歯の抜歯後の傷が治るまで仮の歯を接着して固定します

  2. STEP.02

    固定されていた仮の歯を撤去して、古い詰め物もきれいに除去します

  3. STEP.03

    専用の器具を歯に装着して、
    コンポジットレジン修復用の接着剤を歯に塗布します

  4. STEP.04

    コンポジットレジンを歯に詰めて成形し、光を当てて硬化させます

  5. STEP.05

    欠損している部位をコンポジットレジンで徐々に再構築して、歯の形に戻します

  6. STEP.06

    治療後の状態

    丁寧に研磨して前歯の審美性と機能性とを自然な雰囲気に回復します

治療費用

治療本数 保証期間 料金(税抜)
3歯 5年 ¥200,000

基本的には即日に修復を完了し、機能性と審美性が獲得可能です。
健全な歯を大切に保存しながら、歯の形態・色調を修正することができます。
口腔内の状況に応じて、1ヶ月・3ヶ月・6ヶ月の定期検診を維持してください。

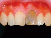
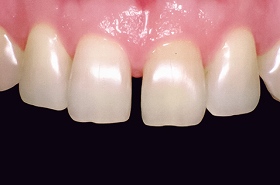
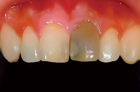
変色した前歯への対応

健康な歯を最大限活かした歯の漂白とコンポジットレジン修復

Before
After
  1. STEP.01

    治療前の状態

    前歯の変色と虫歯を治してきれいな前歯の状態を作ることが目標です

  2. STEP.02

    なるべく健康な歯を傷つけない様に注意して、歯の裏側から漂白剤を作用させます

  3. STEP.03

    歯の漂白を終了して前歯の虫歯を除去した状態です

  4. STEP.04

    特殊な器具を使用してコンポジットレジンを歯に詰めて成形します

  5. STEP.05

    成形したコンポジットレジンに光を当てて硬化させます

  6. STEP.06

    治療後の状態

    形態を修正して丁寧に研磨し艶のある表面の状態に仕上げます

治療費用

治療本数 保証期間 料金(税抜)
1歯 5年 ¥50,000

基本的には即日に修復を完了し、機能性と審美性が獲得可能です。
健全な歯を大切に保存しながら、歯の形態・色調を修正することができます。
口腔内の状況に応じて、1ヶ月・3ヶ月・6ヶ月の定期検診を維持してください。

治療方法に関する Q&A

歯周病の進行で前歯の間の隙間が目立ってきました。前歯の小さな隙間を埋めて見た目を回復する方法としてどのような治療方法の選択肢がありますか?

健康な歯を削らずに、前歯の間の小さな隙間だけを埋める治療方法はコンポジットレジン修復以外にはありません。
前歯の間の健康な歯の表面に強く接着し、歯の形態を改善することができます。

コンポジットレジン修復を行うことで歯周病の状況が再び悪化することはありませんか?歯ぐきの状態が良くなってきたところなので心配です。

コンポジットレジンを詰めた部分の表面は汚れがつきにくい状況になるまで良く研磨して修復を終えます。
これまでと同様にしっかりと日頃のセルフケアを継続すれば心配はありません。

治療後のメインテナンスの方法を教えてください。長期間にわたり、前歯全体としての美しい状態が維持できるのでしょうか?

コンポジットレジン修復による治療終了後は、3ヶ月〜6ヶ月に1回程度のメインテナンスを継続してください。
前歯の表面を定期的に研磨して美しさを保つことが出来ます。

銀歯で治療するのは避けたいのですが、他に治療の選択肢はありますか?できれば治療痕が目立たない方法を選択したいのですが。

歯の色調と馴染みの良い治療方法としては、コンポジットレジン修復・セラミックインレー修復が選択肢となります。
より歯に強く接着して強固に一体化するのはコンポジットレジン修復です。

コンポジットレジン修復を選択した場合、奥歯の治療に使用しても強度に問題はないですか?壊れやすいということはないでしょうか。

咬む力が強い方の場合には、時間と共に擦り減ったり欠けたりする可能性があります。
ただ、奥歯の治療に使用可能な強度がありますので、一般的な使用方法で簡単に壊れることはありません。

コンポジットレジン修復後、誤って硬いものを咬んで欠けてしまった場合には、どのように対応しますか?再治療ではなく補修による対応が可能でしょうか。

コンポジットレジン修復の大きな特徴として、リペアの方法が確立しているというメリットがあります。
一度治療した部分に補修等が必要となった場合でも、部分的な補修治療で済む可能性が高いです。